• 온라인 예약
  • 온라인 상담
    • 월 ~ 목 야간진료 / 공휴일 진료
쉽고 빠른 상담
연락처를 남겨주시면 빠르고
친절하게 상담해드리겠습니다.
공지사항 내용
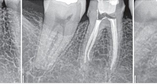
제목 신경치료 성공률 높이려면?
글쓴이 운영자
날짜 2025-04-14 [15:47] count : 717

Emotion Icon신경치료에 성공율을 좌우하는것은?


신경치료후에도 잔존세균과 어떠한 자극원이 근단부로 

방출되어 생기는 염증을 의미합니다. 

근관치료의 성공은 근관 내우와 외부의 연결 경로를 

밀폐하는 것에 달려 있고, 이를 위해 본원에서는 MTA충전재로 

밀폐환경을 더 완벽히 조성하여

실패율을 줄이는데 집중하고 있습니다. 


Download #1 : 11.jpg (17) Size : 16.6 KB
Download #2 : 22.jpg (21) Size : 30.3 KB

병원소식

공지사항
번호 제목 작성자 작성일 조회
125 연수 퍼스트 치과 워크샵 다녀 왔습니다~~ 운영자 2025-11-24 444
124 감동주의보!!따끈환 고구마로 충전 완료! 운영자 2025-11-13 367
123 수험생 여러분의 멋진 앞날을 응원합니다. 고생 하셨어요~ 운영자 2025-11-13 399
122 턱에서 소리가 나요~~ 운영자 2025-11-04 397
121 빠르게~ 간편하게 ~ 부분교정으로 해결!!!! 운영자 2025-10-28 401
120 안아픈 스켈링이 있다규~~" 에어플로우" 운영자 2025-10-28 408
119 마음까지 풍성! 연수 퍼스트 치과 직원들을 위한 따뜻한 명절 선물 운영자 2025-10-08 421
118 고00님 감사합니다^^ 운영자 2025-09-26 511
117 공휴일 진료하는 병원 찾으시나요? 운영자 2025-09-26 516
116 연수퍼스트 치과의 아침루틴~ 운영자 2025-09-05 527
115 노oo님 께서 출출할때 먹으라며 선물 주셨어요~~ 운영자 2025-08-25 572
114 연수 퍼스트 치과 12주년을 맞이 하였습니다. 감사합니다. 운영자 2025-07-17 572
113 3D 구강 스캐너 로 여러분의 보철물을 더더 정확히 재현해드립니다. 운영자 2025-07-17 549
112 최신 디지털 엑스레이 장비를 사용하여 더 정확히 진단해 드립니다. 운영자 2025-07-17 484
111 동춘동 근처 가볼만한곳 추천합니다. " 시냇물 공원" 운영자 2025-06-26 501
게시판 검색하기
검색