• 온라인 예약
  • 온라인 상담
    • 월 ~ 목 야간진료 / 공휴일 진료
쉽고 빠른 상담
연락처를 남겨주시면 빠르고
친절하게 상담해드리겠습니다.

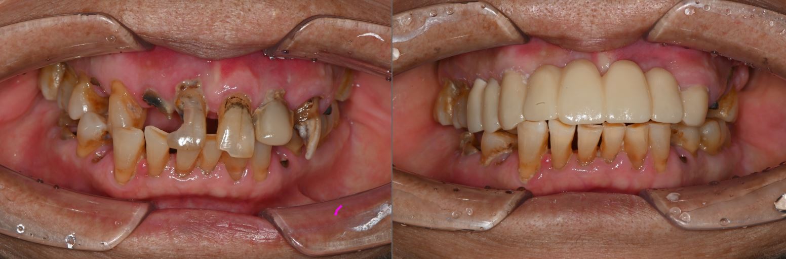
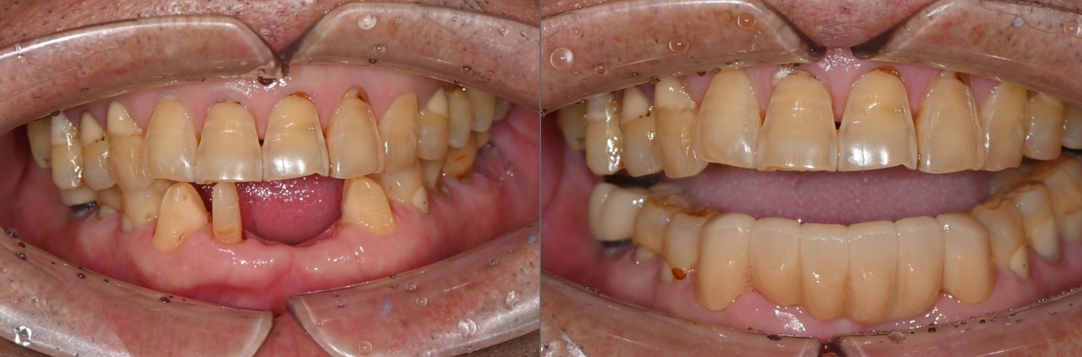
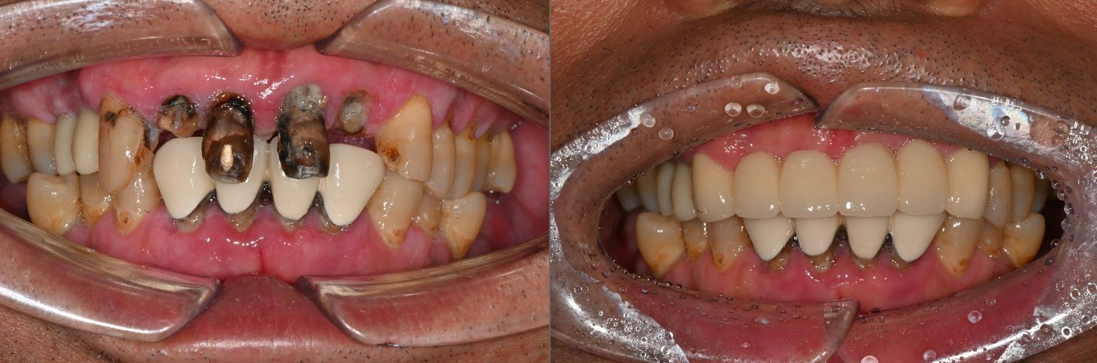
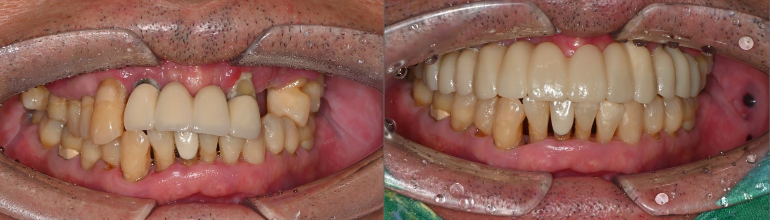
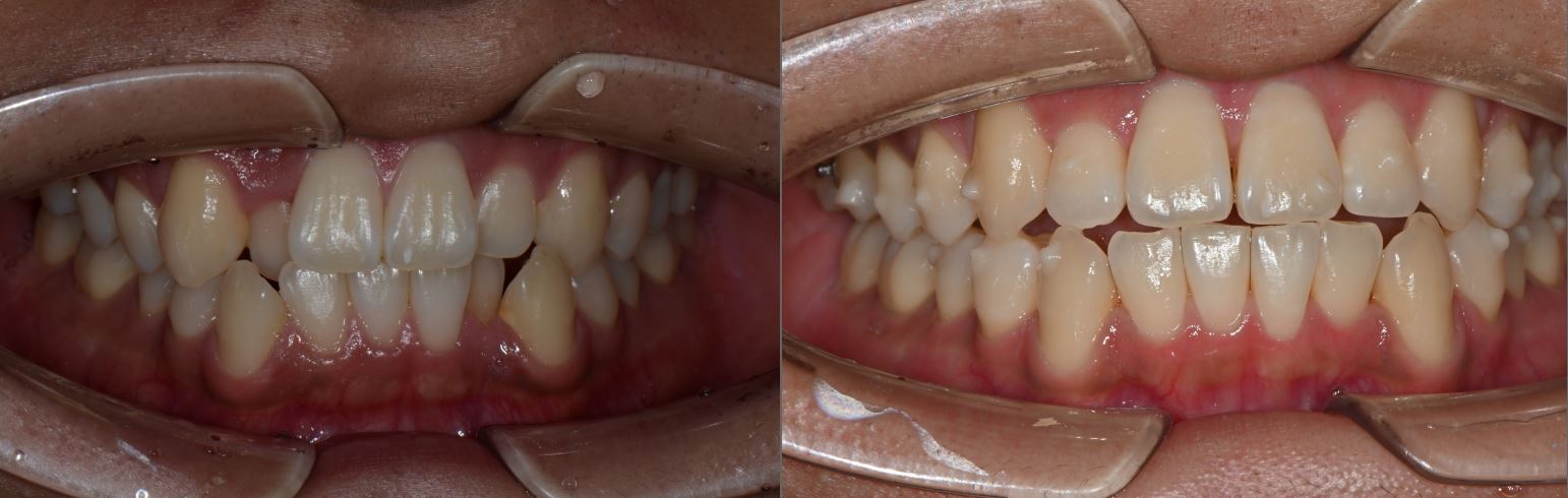
치료전후사진

게시판 검색하기
검색