• 온라인 예약
  • 온라인 상담
    • 월 ~ 목 야간진료 / 공휴일 진료
쉽고 빠른 상담
연락처를 남겨주시면 빠르고
친절하게 상담해드리겠습니다.
공지사항 내용
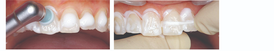
제목 예방에 효과적인 케어!! 아파프로 나노이드
글쓴이 운영자
날짜 2025-04-10 [09:25] count : 700

  ★아파프로 나노이드 

- 치아 뼈를 구성하는 성분으로 만들었습니다!! 

예방을 목적으로한 여러 제품이 많앗지만, 입자를 나노로 만들어 치아에 빠른 효과를 

낼수있는 제품이 있어 본원에서도 퍼스트 케어용으로 적극 활용하고 있습니다. 

예방계의 혁신이라고 할수있는 제품으로 많은분들의 구강이 더 건강 해졌으면 좋겠습니다!!!

 

* 치아 시린분들 : 상아세관봉쇄로 1회사용으로도 77프로 개선

* 우식 예방이 필요한 분들 : 초기우식의 재석회화로 우식예방에 효과적

* 구강내 세균에 대한 저항성과 스켈링후 도포하면 치석생성 억제효과


Download #1 : KakaoTalk_20250410_091121506.png (17) Size : 178.7 KB
Download #2 : KakaoTalk_20250410_091052890.png (25) Size : 292.9 KB

병원소식

공지사항
번호 제목 작성자 작성일 조회
125 연수 퍼스트 치과 워크샵 다녀 왔습니다~~ 운영자 2025-11-24 454
124 감동주의보!!따끈환 고구마로 충전 완료! 운영자 2025-11-13 373
123 수험생 여러분의 멋진 앞날을 응원합니다. 고생 하셨어요~ 운영자 2025-11-13 408
122 턱에서 소리가 나요~~ 운영자 2025-11-04 404
121 빠르게~ 간편하게 ~ 부분교정으로 해결!!!! 운영자 2025-10-28 410
120 안아픈 스켈링이 있다규~~" 에어플로우" 운영자 2025-10-28 418
119 마음까지 풍성! 연수 퍼스트 치과 직원들을 위한 따뜻한 명절 선물 운영자 2025-10-08 429
118 고00님 감사합니다^^ 운영자 2025-09-26 518
117 공휴일 진료하는 병원 찾으시나요? 운영자 2025-09-26 525
116 연수퍼스트 치과의 아침루틴~ 운영자 2025-09-05 536
115 노oo님 께서 출출할때 먹으라며 선물 주셨어요~~ 운영자 2025-08-25 580
114 연수 퍼스트 치과 12주년을 맞이 하였습니다. 감사합니다. 운영자 2025-07-17 581
113 3D 구강 스캐너 로 여러분의 보철물을 더더 정확히 재현해드립니다. 운영자 2025-07-17 558
112 최신 디지털 엑스레이 장비를 사용하여 더 정확히 진단해 드립니다. 운영자 2025-07-17 493
111 동춘동 근처 가볼만한곳 추천합니다. " 시냇물 공원" 운영자 2025-06-26 509
게시판 검색하기
검색